Cạo vôi răng định kỳ có quan trọng không? Bao lâu nên thực hiện một lần?
-
Người viết: Biên tập
/
Cạo vôi răng là một trong những thủ thuật nha khoa đơn giản, nhanh chóng nhưng lại có vai trò cực kỳ quan trọng trong việc bảo vệ sức khỏe răng miệng. Tuy nhiên, rất nhiều người thường bỏ qua hoặc trì hoãn việc này vì nghĩ “chưa cần thiết”. Vậy cạo vôi răng định kỳ có quan trọng không? Và nên thực hiện bao lâu một lần?
Vôi răng là gì và hình thành như thế nào?
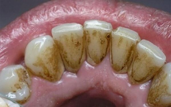
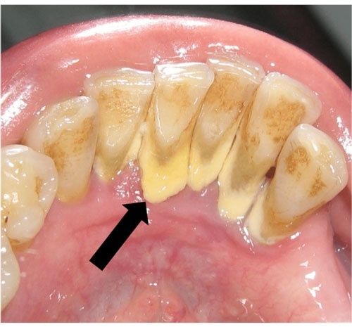
Vôi răng (cao răng) là lớp mảng bám cứng, hình thành từ thức ăn thừa, vi khuẩn và khoáng chất trong nước bọt. Nếu không được loại bỏ bằng cách đánh răng thường xuyên và đúng cách, mảng bám sẽ khoáng hóa thành vôi răng bám chắc vào thân răng và dưới nướu.
Vôi răng không thể làm sạch bằng bàn chải thông thường, mà cần đến nha sĩ để loại bỏ bằng máy cạo vôi chuyên dụng.

Tác hại của vôi răng nếu không được làm sạch
Gây hôi miệng do tích tụ vi khuẩn
Viêm nướu, viêm nha chu, làm tụt lợi, răng lung lay
Tăng nguy cơ sâu răng, đặc biệt ở vùng cổ răng
Gây mất thẩm mỹ (vôi răng vàng, nâu, đen…)
Là nguyên nhân tiềm ẩn gây mất răng sớm
Bao lâu nên cạo vôi răng một lần?
Theo khuyến nghị của các chuyên gia nha khoa, bạn nên cạo vôi răng định kỳ mỗi 6 tháng/lần. Tuy nhiên, tần suất này có thể thay đổi tùy theo tình trạng răng miệng:
3–4 tháng/lần: Nếu bạn có nhiều vôi răng, hút thuốc lá, dùng nhiều cà phê/trà hoặc có tiền sử viêm nướu
6 tháng/lần: Với người có sức khỏe răng miệng bình thường
Trẻ em và người lớn tuổi cũng nên được kiểm tra định kỳ để loại bỏ vôi răng sớm

Cạo vôi răng có đau không?
Tại Nha khoa Mira, chúng tôi sử dụng máy cạo vôi siêu âm hiện đại, giúp loại bỏ mảng bám hiệu quả mà không gây ê buốt hay tổn thương mô nướu. Quá trình cạo vôi thường diễn ra trong 15–30 phút, nhẹ nhàng và an toàn.

Lợi ích khi cạo vôi răng định kỳ tại Nha khoa Mira
Làm sạch sâu, giúp răng sáng bóng và sạch khỏe
Phát hiện sớm các bệnh lý răng miệng
Ngăn ngừa biến chứng viêm nướu, nha chu
Đội ngũ bác sĩ tận tâm, công nghệ hiện đại
Không đau – không chảy máu – không ê buốt
Cạo vôi răng định kỳ không chỉ là làm đẹp, mà còn là cách phòng bệnh răng miệng hiệu quả nhất. Nếu bạn đã lâu chưa kiểm tra sức khỏe răng miệng, hãy dành thời gian để chăm sóc hàm răng của mình ngay hôm nay.

MIRA DENTAL CLINIC - DENTAL CARE FOR LIFE
116 - 118 Bàn Cờ, P. Bàn Cờ, Tp. HCM
Hotline/Zalo: 0901083086
info@miradental.vn
T2 - T7 08:00-20:00 | Chủ nhật: 08:00-12:00
Sản phẩm khuyến mãi
Khuyến mãi mỗi ngày
